治療のご紹介
当院で行った矯正治療の症例を
ご紹介しています
TREATMENT
歯の動きには、個人差がありますので治療期間は目安となります。
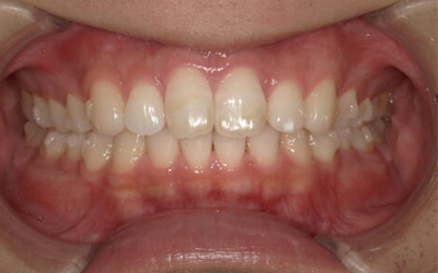
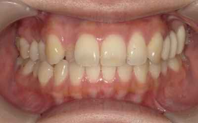
出っ歯の症例
BEFORE
AFTER
| 治療内容 | カスタムメイドで制作されたマウスピースを定期的に交換しながら少しずつ歯に適切な力をかけて歯並びを調整 |
|---|---|
| 治療期間 | 7ヶ月 |
| リスク・副作用 | マウスピースの装着時間が少ないと治療期間が長引く可能性があります。他の矯正治療と同様に、疼痛・歯根吸収・歯肉退縮の可能性や適切な保定をしないと治療後に後戻りすることがあります。 |
| 費用 | インビザライン 720,000円 |
※価格は税込みです。
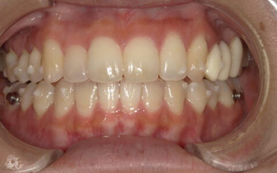
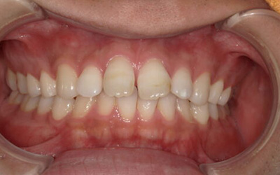
叢生の症例
BEFORE
AFTER
| 治療内容 | カスタムメイドで制作されたマウスピースを定期的に交換しながら少しずつ歯に適切な力をかけて歯並びを調整 |
|---|---|
| 治療期間 | 1年3ヶ月 |
| リスク・副作用 | マウスピースの装着時間が少ないと治療期間が長引く可能性があります。他の矯正治療と同様に、疼痛・歯根吸収・歯肉退縮の可能性や適切な保定をしないと治療後に後戻りすることがあります。 |
| 費用 | インビザライン 720,000円 |
※価格は税込みです。
受け口の症例
BEFORE
AFTER
| 治療内容 | カスタムメイドで制作されたマウスピースを定期的に交換しながら少しずつ歯に適切な力をかけて歯並びを調整 |
|---|---|
| 治療期間 | 6ヶ月 |
| リスク・副作用 | マウスピースの装着時間が少ないと治療期間が長引く可能性があります。他の矯正治療と同様に、疼痛・歯根吸収・歯肉退縮の可能性や適切な保定をしないと治療後に後戻りすることがあります。 |
| 費用 | インビザラインライト 430,000円 |
※価格は税込みです。
リスク・副作用について
医療法人栄信会グループは
中国地方を中心に
10院展開しているため、
お好きな医院をお選びいただけます EISHINKAI
山口県柳井市
やない歯科・矯正歯科
山口県周南市
ワハハキッズデンタルランド&おとな歯科
山口県周南市
徳山駅前矯正歯科
山口県山口市
アイリーデンタルクリニック
広島県廿日市市
とだ歯科・矯正歯科
広島県広島市
ホワイトエッセンス広島駅前歯科

〒732-0823
広島県広島市南区猿猴橋町2-11
広島駅前クリニックビル4F
広島県広島市
広島駅前歯科・矯正歯科
(ホテルグランヴィア広島院)
岡山県岡山市
杜の街グレース歯科・矯正歯科

〒700-0907
岡山県岡山市北区下石井2丁目10番8号 杜の街グレース杜の街プラザ5F
杜の街グレース内駐車場、駐輪場3時間無料
大阪府大阪市
心斎橋トダ歯科・矯正歯科

〒542-0081
大阪府大阪市中央区南船場3-5-15 コクミン心斎橋ビル6F






